Overview Adequate incorporation of land cover in global and regional climate models is still one of the major priorities in the climate modeling community. In particular, anthropogenic land cover change (ALCC) is still not successfully implemented in these models. As a result, climate modeling in paleo-mode or projection mode that tries to take ALCC into account is […]
Palaeoenvironmental site map
Interactive map of palaeoenvironmental sites in East Africa. Click the sites to find the relevant published studies and access the papers. An index list of sites can be found by clicking the box at the top left corner of the map. version 001 Colin Courtney Mustaphi 15 December 2014 Sites and references Amani Pond Mumbi […]
British Ecological Society – Tropical Ecosystems Group August 14-15, 2014
BES-TEG aimed at promoting and facilitating communication and interaction between tropical ecologists to enable inter-disciplinary transfer and development of knowledge and skills; and provides support for early career researchers while filling-in policy gaps. After six successful Early Career Research Meetings, BES-TEG are organizing a 7th meeting schedule to take place at the University of York, […]
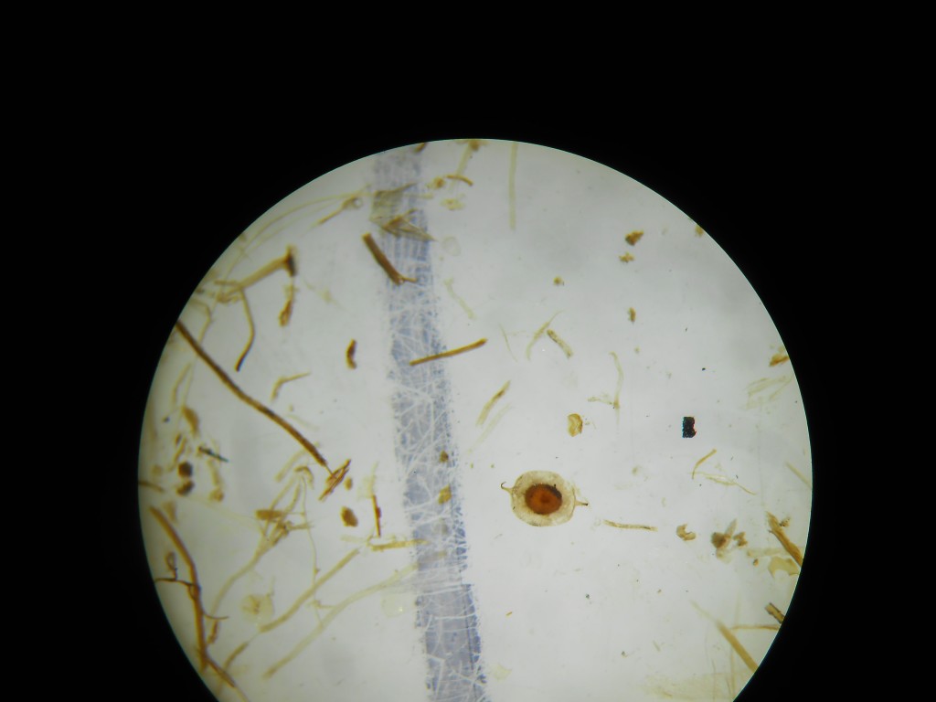
Identification help: Freshwater bryozoa statoblast from East Africa
Identified! This is a statoblast of the species Lophopodella capensis or possibly Lophopodella stuhlmani. Some information on the distribution of this freshwater bryozoa can be found here. Bryozoa statoblasts like these were found in the late Holocene sediments of Nyabuiyabui Swamp, a freshwater swamp on the Mau Escarpment in Kenya, at 2900 m asl. If it is […]
Nyabuiyabui Swamp fieldwork
Nyabuiyabui swamp field work was carried out between 10-12/04/2014 by Colin Courtney Mustaphi, Esther Githumbi who were accompanied by Rebecca Muthoni (Intern at National Museums of Kenya) and Joseph Mutua (BIEA). Nyabuiyabui Swamp is located in Mau forest, Kiptunga block and permission to carry out the field work was granted by the KFS. It […]
Amboseli fieldwork
Assorted REALers accompanied Esther and Colin on their fieldwork trip to the Amboseli region. Two swamps were targeted for analysis, resulting in some beautiful cores and a ton of fun, all under the watchful eye of Mount Kilimanjaro. Further activities included mapping the sediment depth, taking pictures with the trusted Quad “Don’t land me in […]
ESR 4: Long-term ecosystem dynamics and societal interactions in the Amboseli and Mau ecosystems from swamp sediments
ESR 4 – Esther Githumbi SUPERVISOR – Dr. Rob Marchant INSTITUTION – University of York I am based at The York Institute for Tropical Ecosystems (KITE), University of York. KITE works across Eastern Africa to understand ecosystem patterns and processes, how these interact with environment, biotic and human populations. The region encompasses some […]
Geert van der Plas
Position: Early-stage researcher Address: Limnology Unit, Department of Biology, Ghent University K.L. Ledeganckstraat 35, B-9000 Gent, Belgium Email: geert.vanderplas@ugent.be Website: UGent webpage LinkedIn profile Supervisor: Dirk Verschuren Bio: Hi, my name is Geert. I am attached to REAL as an ESR, based at Ghent University. I will be reconstructing past landscape and environmental changes in […]







